×
개인정보 취급방침
개인정보 처리방침에 대한 내용을 입력하십시오.
×
이용약관
서비스 이용약관에 대한 내용을 입력하십시오.
치과 소개
더페이스의 특별함
대표원장 소개
병원 둘러보기
진료시간/오시는길
교정진단 시스템
교정진단 시스템
교정치료
성장기 교정
청소년 교정
성인 교정
인비절라인
치료 전후 사진
치료 전후 사진
턱관절 클리닉
턱관절 클리닉
커뮤니티
공지사항
더페이스 소식
치료 후기
온라인 상담
Tel. 031.559.2275
Address. 경기 남양주시 늘을2로14번길 3 (에이스프라자) 4층
치과 소개
교정진단 시스템
교정치료
치료 전후 사진
턱관절 클리닉
커뮤니티
치과 소개
더페이스의 특별함
대표원장 소개
병원 둘러보기
진료시간/오시는길
교정진단 시스템
교정진단 시스템
교정치료
성장기 교정
청소년 교정
성인 교정
인비절라인
치료 전후 사진
치료 전후 사진
턱관절 클리닉
턱관절 클리닉
커뮤니티
공지사항
더페이스 소식
치료 후기
온라인 상담
031.
559.
2275
네이버 예약
교정치료
끊임없는 연구를 통한 수준 높은 진료와 안전한 진료환경을 제공합니다.
청소년기
교정
사춘기는 얼굴 전체의 미용적인 부분에 관심이 많은 시기입니다.
이미 성장이 종료된 성인은 불가능하지만, 청소년은 아직 뼈의 성장을 조절할 수 있기 때문에 발치나 수술 없이도 만족스러운 교정 결과가 나올 수 있습니다.
청소년기의 경우 성장이 진행되고 있기 때문에 성인에 비해 치아가 움직이는 속도가 빠르고
부드럽게 움직여 통증이 적고 치료 효과가 좋습니다.
또한 교정된 치열이 흐트러질 위험이 적고 블랙 트라이앵글 등의 부작용 발생 확률이 줄어들기 때문에 이 시기에 치아교정을 진행하는 것이 가장 적절합니다.
교정치료에 가장 유리한 청소년기에 치과교정과 전문의에게 정밀상담을 받는 것이 좋습니다.
청소년기 교정
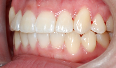
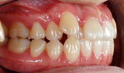
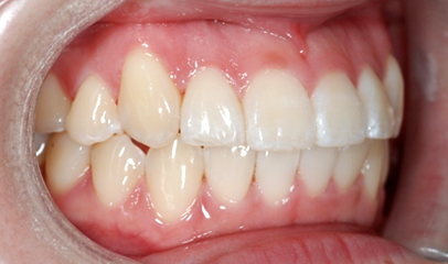
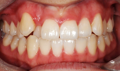
전후 사례
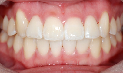
Before
Before
Before
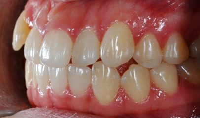
After
After
After