×
개인정보 취급방침
개인정보 처리방침에 대한 내용을 입력하십시오.
×
이용약관
서비스 이용약관에 대한 내용을 입력하십시오.
치과 소개
더페이스의 특별함
대표원장 소개
병원 둘러보기
진료시간/오시는길
교정진단 시스템
교정진단 시스템
교정치료
성장기 교정
청소년 교정
성인 교정
인비절라인
치료 전후 사진
치료 전후 사진
턱관절 클리닉
턱관절 클리닉
커뮤니티
공지사항
더페이스 소식
치료 후기
온라인 상담
Tel. 031.559.2275
Address. 경기 남양주시 늘을2로14번길 3 (에이스프라자) 4층
치과 소개
교정진단 시스템
교정치료
치료 전후 사진
턱관절 클리닉
커뮤니티
치과 소개
더페이스의 특별함
대표원장 소개
병원 둘러보기
진료시간/오시는길
교정진단 시스템
교정진단 시스템
교정치료
성장기 교정
청소년 교정
성인 교정
인비절라인
치료 전후 사진
치료 전후 사진
턱관절 클리닉
턱관절 클리닉
커뮤니티
공지사항
더페이스 소식
치료 후기
온라인 상담
031.
559.
2275
네이버 예약
교정치료
끊임없는 연구를 통한 수준 높은 진료와 안전한 진료환경을 제공합니다.
성인
교정
간단한 부분교정
비발치 교정
발치 돌출입 교정
수직조절
간단한 부분교정
치아 전체를 교정하기 보다는 배열이 맞지 않는 일부분만 교정하는 방법입니다. 전체 교정에 비해 걸리는 시간이 평균 6~8개월로 비교적 짧고 비용도 다소 저렴하지만 부분교정만으로 가능한 경우인지 반드시 교정전문의와 상의하여 결정하셔야 합니다.
부분 교정이
필요한 경우
01
통상 2년 정도 걸리는 전체교정이 부담스러운 사회인
02
다시 교정이 필요한 경우
03
간단한 앞니 삐뚤어짐
04
임플란트 식립을 위해 공간 확보가 필요한 경우
간단한 부분교정
전후 사례
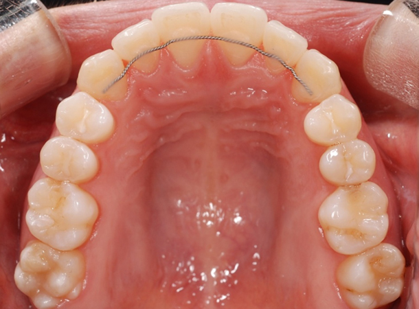
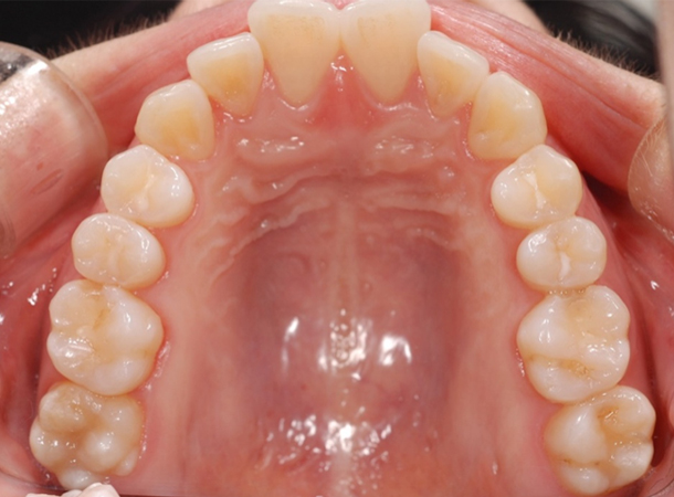
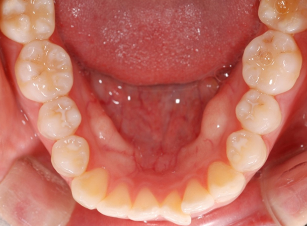
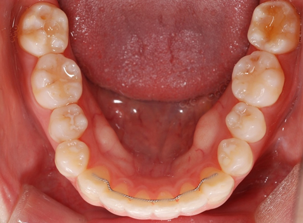
앞니 부분교정 치료기간 약 6개월
Before
Before
After
After