×
개인정보 취급방침
개인정보 처리방침에 대한 내용을 입력하십시오.
×
이용약관
서비스 이용약관에 대한 내용을 입력하십시오.
치과 소개
더페이스의 특별함
대표원장 소개
병원 둘러보기
진료시간/오시는길
교정진단 시스템
교정진단 시스템
교정치료
성장기 교정
청소년 교정
성인 교정
인비절라인
치료 전후 사진
치료 전후 사진
턱관절 클리닉
턱관절 클리닉
커뮤니티
공지사항
더페이스 소식
치료 후기
온라인 상담
Tel. 031.559.2275
Address. 경기 남양주시 늘을2로14번길 3 (에이스프라자) 4층
치과 소개
교정진단 시스템
교정치료
치료 전후 사진
턱관절 클리닉
커뮤니티
치과 소개
더페이스의 특별함
대표원장 소개
병원 둘러보기
진료시간/오시는길
교정진단 시스템
교정진단 시스템
교정치료
성장기 교정
청소년 교정
성인 교정
인비절라인
치료 전후 사진
치료 전후 사진
턱관절 클리닉
턱관절 클리닉
커뮤니티
공지사항
더페이스 소식
치료 후기
온라인 상담
031.
559.
2275
네이버 예약
교정치료
끊임없는 연구를 통한 수준 높은 진료와 안전한 진료환경을 제공합니다.
성인
교정
간단한 부분교정
비발치 교정
발치 돌출입 교정
수직조절
발치 돌출입 교정
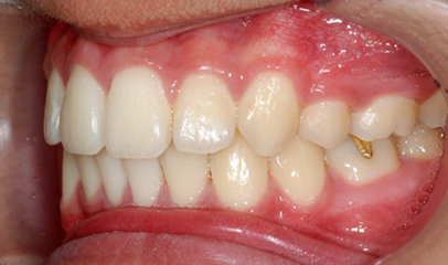
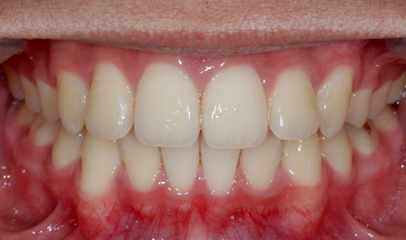
입돌출이나 삐뚤삐뚤함이 너무 심한 성인의 경우 발치 교정을 통해 덧니와 돌출입을 확실히 개선할 수 있습니다.
적절한 치료를 통해 돌출된 치열과 잇몸을 들어가게 해 줌으로써 얼굴모습을 개선하고 예쁜인상을 만들 수 있습니다.
발치 돌출입 교정
전후 사례
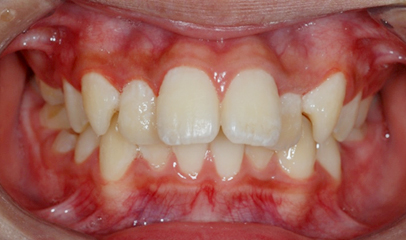
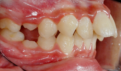
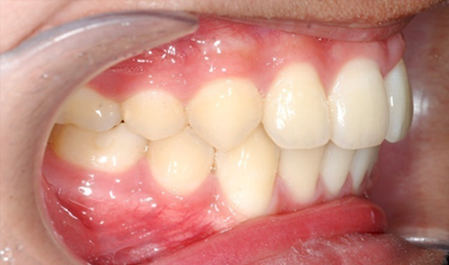
발치 교정, 치료기간 약 2년
Before
Before
Before
After
After
After
더페이스
교정진단 시스템
더페이스만의 교정진단시스템을 통해 정밀한 치료계획을 수립합니다.
얼굴 변화 시뮬레이션을 통하여 다양한 치료 옵션을
교정전문의 대표원장과 함께 선택할 수 있도록 도와드립니다.
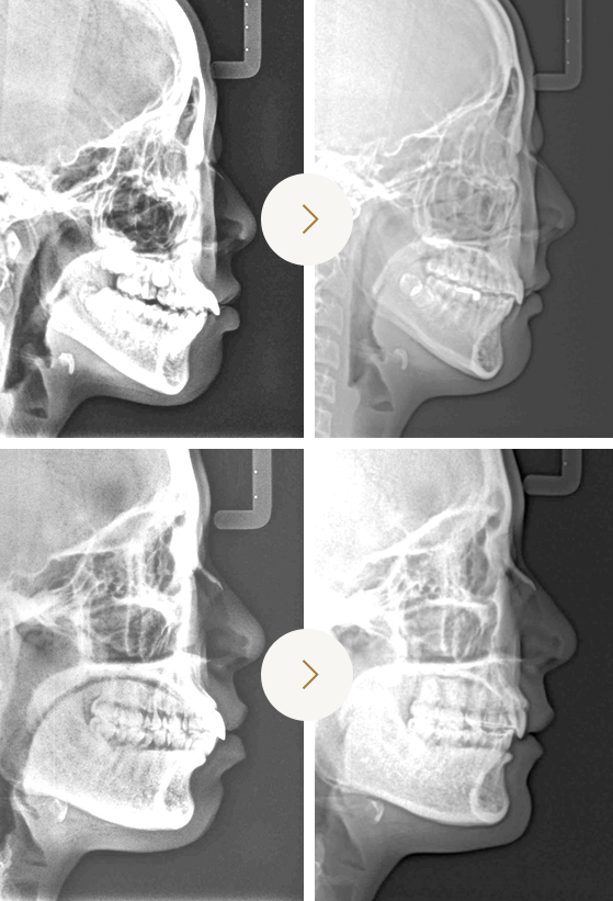
Before & After
발치 돌출입 교정을 통한 입술선의
변화만으로도 인상이 달라져 보일 수 있습니다.
발치 돌출입 교정치료 이후
옆모습 엑스레이 사진 변화입니다.