×
개인정보 취급방침
개인정보 처리방침에 대한 내용을 입력하십시오.
×
이용약관
서비스 이용약관에 대한 내용을 입력하십시오.
치과 소개
더페이스의 특별함
대표원장 소개
병원 둘러보기
진료시간/오시는길
교정진단 시스템
교정진단 시스템
교정치료
성장기 교정
청소년 교정
성인 교정
인비절라인
치료 전후 사진
치료 전후 사진
턱관절 클리닉
턱관절 클리닉
커뮤니티
공지사항
더페이스 소식
치료 후기
온라인 상담
Tel. 031.559.2275
Address. 경기 남양주시 늘을2로14번길 3 (에이스프라자) 4층
치과 소개
교정진단 시스템
교정치료
치료 전후 사진
턱관절 클리닉
커뮤니티
치과 소개
더페이스의 특별함
대표원장 소개
병원 둘러보기
진료시간/오시는길
교정진단 시스템
교정진단 시스템
교정치료
성장기 교정
청소년 교정
성인 교정
인비절라인
치료 전후 사진
치료 전후 사진
턱관절 클리닉
턱관절 클리닉
커뮤니티
공지사항
더페이스 소식
치료 후기
온라인 상담
031.
559.
2275
네이버 예약
교정치료
끊임없는 연구를 통한 수준 높은 진료와 안전한 진료환경을 제공합니다.
성인
교정
간단한 부분교정
비발치 교정
발치 돌출입 교정
수직조절
수직조절
부정교합의 유형에는 수직적 부정교합도 있습니다. 과개교합, 개방교합 이라고도 불리는데 간단히 말해, 위아래 앞니가 너무 깊게 물리거나 또는 물리지 않고 떠 있는 경우입니다. 이러한 치아의 수직조절은 교정치료로 가능합니다.
수직조절
Check Point!
01
위아래 앞니가 다물어지지 않는다.
02
아래 앞니가 위 앞니에 가려져서 보이지 않는다.
03
평상시 입이 잘 벌어져 입이 마른 편이다.
04
혀를 내미는 습관 또는 입으로 호흡하는 습관이 있다.
05
턱을 움직일 때, 앞니에 막히는 느낌 또는 턱이 답답한 느낌이 있다.
수직조절 교정
전후 사례
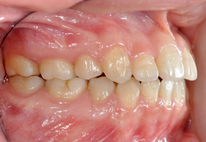
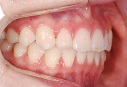
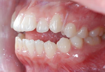
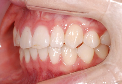
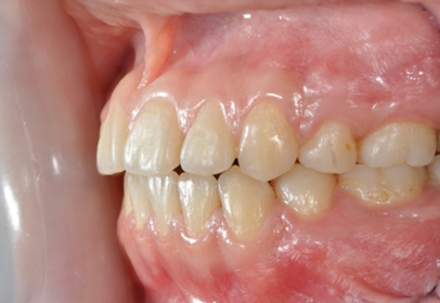
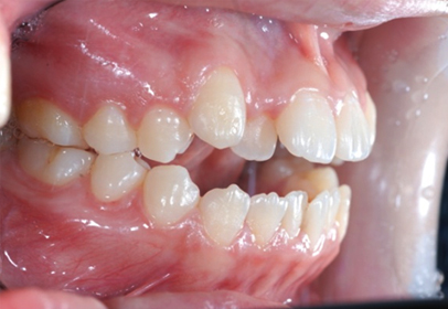
개방교합 발치 교정 치료기간 약 2년 6개월
Before
Before
Before
After
After
After
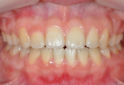
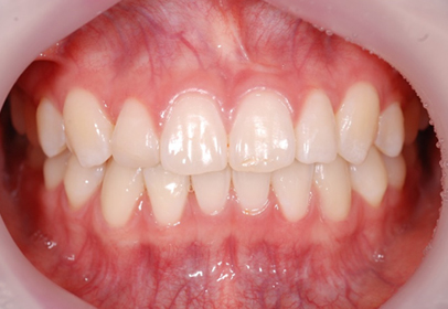
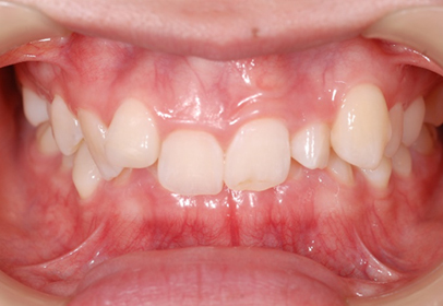
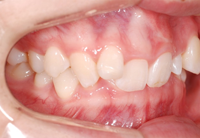
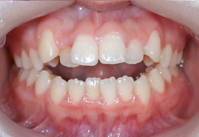
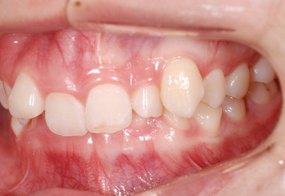
과개교합 비발치 교정 치료기간 약 1년 6개월
Before
Before
Before
After
After
After