×
개인정보 취급방침
개인정보 처리방침에 대한 내용을 입력하십시오.
×
이용약관
서비스 이용약관에 대한 내용을 입력하십시오.
치과 소개
더페이스의 특별함
대표원장 소개
병원 둘러보기
진료시간/오시는길
교정진단 시스템
교정진단 시스템
교정치료
성장기 교정
청소년 교정
성인 교정
인비절라인
치료 전후 사진
치료 전후 사진
턱관절 클리닉
턱관절 클리닉
커뮤니티
공지사항
더페이스 소식
치료 후기
온라인 상담
Tel. 031.559.2275
Address. 경기 남양주시 늘을2로14번길 3 (에이스프라자) 4층
치과 소개
교정진단 시스템
교정치료
치료 전후 사진
턱관절 클리닉
커뮤니티
치과 소개
더페이스의 특별함
대표원장 소개
병원 둘러보기
진료시간/오시는길
교정진단 시스템
교정진단 시스템
교정치료
성장기 교정
청소년 교정
성인 교정
인비절라인
치료 전후 사진
치료 전후 사진
턱관절 클리닉
턱관절 클리닉
커뮤니티
공지사항
더페이스 소식
치료 후기
온라인 상담
031.
559.
2275
네이버 예약
교정치료
끊임없는 연구를 통한 수준 높은 진료와 안전한 진료환경을 제공합니다.
성장기
교정
성장기 우리아이의
턱성장 부조화, 부정교합
의 발생이 예상되거나, 이미 발생한 경우 !
성장조절 교정치료를 통해 바람직한 발육을 유도함으로써, 성장완료후 자연스러운 얼굴을 얻을 수 있도록 좋은 환경을 만들어 주는 것입니다.
주걱턱 교정(약 7~8세)
좁은턱 교정(구개확장, 약 8세)
영구치 맹출이상(약 10세)
무턱 교정(약 12세)
주걱턱 성장교정 : 7~8세
성장기 턱뼈 교정치료에 있어서 가장 흔한 치료로, 보통 위앞니 영구치(대문이)가 나기 시작하는 시점인 7~8세부터 조기에 시작해야 하는 경우가 많습니다. 성장단계평가를 통해 치료시기를 잘 결정하는 것이 중요합니다.
주걱턱 성장교정
Check Point!
01
앞니가 거꾸로 물림
02
턱을 습관적으로 꺼내어 물려고 함
03
앞니가 거꾸로 물림
04
아래쪽만 영구치가 많이 나고, 위쪽은 영구치가 나지 않거나 느리게 남
05
가족력이 있음 (조부모까지 확인 필요)
주걱턱 성장교정
전후 사례
Before
Before
Before
After
After
After
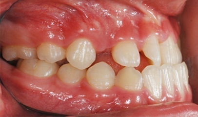
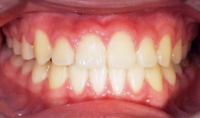
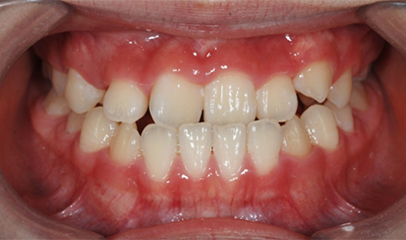
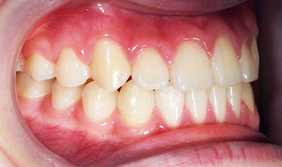
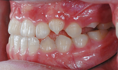
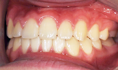
Before & After
페이스마스크 6개월 사용후
위턱의 전방 성장이 이루어졌습니다.
더페이스
교정진단 시스템
더페이스 교정진단 시스템을 통해 우리 아이의 위아래턱뼈의 성장 양상을 분석하고,
향후 뼈의 성장을 예측해 치료계획을 수립합니다.