031.
559.
2275
네이버 예약

교정치료

끊임없는 연구를 통한 수준 높은 진료와 안전한 진료환경을 제공합니다.

성장기 교정

성장기 우리아이의 턱성장 부조화, 부정교합의 발생이 예상되거나, 이미 발생한 경우 !

성장조절 교정치료를 통해 바람직한 발육을 유도함으로써, 성장완료후 자연스러운 얼굴을 얻을 수 있도록 좋은 환경을 만들어 주는 것입니다.

무턱 성장교정 : 12세

무턱 성장교정은 만 12세 전후의 사춘기 성장폭발기 전에 필요한 교정치료로 성장기 어린이에게 매우 중요한 교정치료 입니다. 무턱 환자의 경우, 아래턱뼈의 성장이 부족하여 기도가 좁고 상당수가 비염도 동반하기 때문에 입으로 호흡하는 아이들이 많습니다. 무턱 성장교정은 아래턱뼈의 성장 발육을 촉진시킬 뿐만 아니라 좁은 기도를 확장시켜 우리아이가 보다 편안한 호흡이 가능하도록 해 일상생활과 학업능률 향상에 도움이 될 수 있습니다.

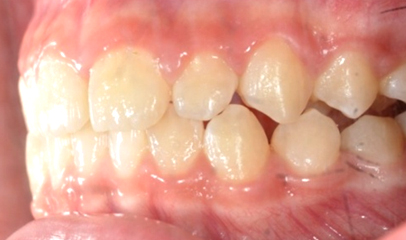
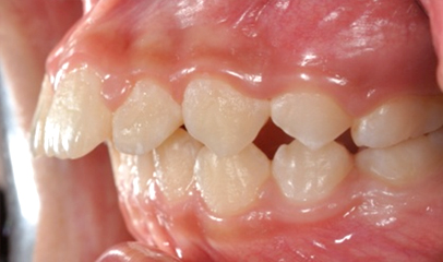
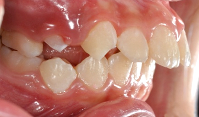
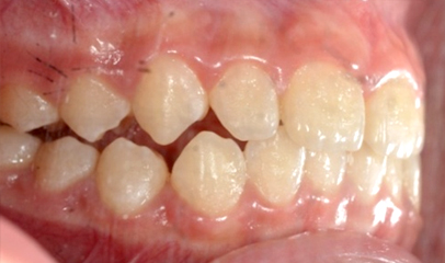
무턱 성장교정 전후 사례

  • Before
  • Before
  • Before
  • After
  • After
  • After

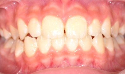
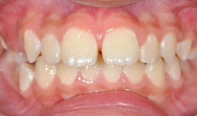
Before & After

액티베이터 8개월 사용후
아래턱 성장이 촉진되었습니다.

무턱 성장기 교정에서 사용하는 성장교정장치 장착 모습입니다.

무턱 성장교정을 할 때 무엇보다 중요한 것은 사춘기 성장 폭발기인지 평가하고 진단하는 것이 중요합니다.

더페이스교정치과에서는 손 성장판 사진을 통해 성장단계 평가를 진행하여 환자의 성장단계를 우선적으로 평가하고 진단합니다.
특히, 아래턱뼈의 성장이 활발한 시기를 타겟팅하여 효과적인 성장기 교정치료를 실행하고 있습니다.