031.
559.
2275
네이버 예약

교정치료

끊임없는 연구를 통한 수준 높은 진료와 안전한 진료환경을 제공합니다.

성장기 교정

성장기 우리아이의 턱성장 부조화, 부정교합의 발생이 예상되거나, 이미 발생한 경우 !

성장조절 교정치료를 통해 바람직한 발육을 유도함으로써, 성장완료후 자연스러운 얼굴을 얻을 수 있도록 좋은 환경을 만들어 주는 것입니다.

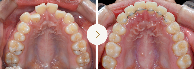
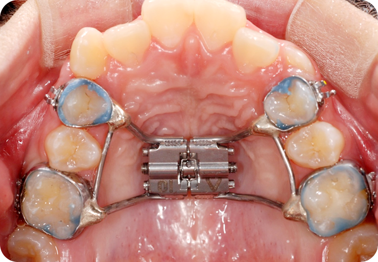
좁은 턱 성장교정 : 구개확장, 8세

성장기 부정교합 환자들의 상당수가 좁은 위턱뼈를 가지고 있습니다. 좁은 위턱뼈는 비염, 입호흡 등 호흡문제와 깊은 관련이 있고 영구치 맹출공간 부족의 원인이 됩니다. 교정치료 없이 청소년기를 맞이 한다면 영구치가 삐뚤삐뚤하게 나오게 되며 호흡 문제로 학업에 지장을 줄 수 있어 성장기에 반드시 치료할 것을 권장합니다.

좁은 턱 성장교정 Check Point!

  • 01

    위에 영구치가 날 자리가 없다.
  • 02

    위 아래 거꾸로 물리는 어금니가 있다.
  • 03

    옆으로 비켜 무는 것 같다
  • 04

    비염이나 입 호흡이 있다.

좁은 턱 성장교정은 위턱뼈의 성장이 많이 이루어지는 초등학생시기에 할수록 효과가 좋습니다.
최적의 시기에 위턱뼈 확장장치로 치료합니다.

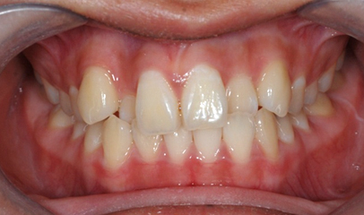
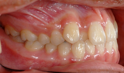
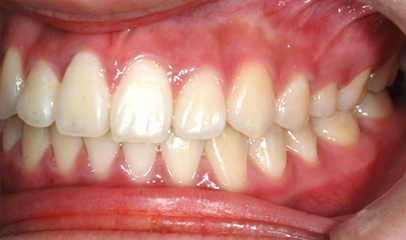
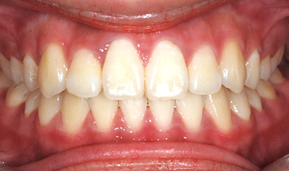
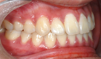
좁은턱 성장교정 전후 사례

  • Before
  • Before
  • Before
  • After
  • After
  • After

Before & After