×
개인정보 취급방침
개인정보 처리방침에 대한 내용을 입력하십시오.
×
이용약관
서비스 이용약관에 대한 내용을 입력하십시오.
치과 소개
더페이스의 특별함
대표원장 소개
병원 둘러보기
진료시간/오시는길
교정진단 시스템
교정진단 시스템
교정치료
성장기 교정
청소년 교정
성인 교정
인비절라인
치료 전후 사진
치료 전후 사진
턱관절 클리닉
턱관절 클리닉
커뮤니티
공지사항
더페이스 소식
치료 후기
온라인 상담
Tel. 031.559.2275
Address. 경기 남양주시 늘을2로14번길 3 (에이스프라자) 4층
치과 소개
교정진단 시스템
교정치료
치료 전후 사진
턱관절 클리닉
커뮤니티
치과 소개
더페이스의 특별함
대표원장 소개
병원 둘러보기
진료시간/오시는길
교정진단 시스템
교정진단 시스템
교정치료
성장기 교정
청소년 교정
성인 교정
인비절라인
치료 전후 사진
치료 전후 사진
턱관절 클리닉
턱관절 클리닉
커뮤니티
공지사항
더페이스 소식
치료 후기
온라인 상담
031.
559.
2275
네이버 예약
교정치료
끊임없는 연구를 통한 수준 높은 진료와 안전한 진료환경을 제공합니다.
성인
교정
간단한 부분교정
비발치 교정
발치 돌출입 교정
수직조절
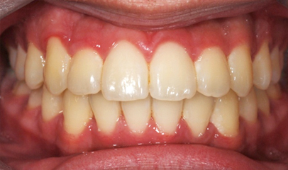
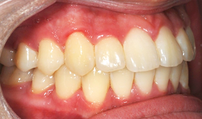
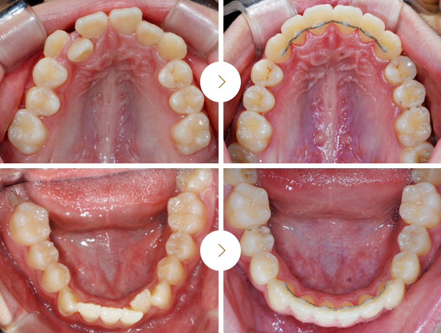
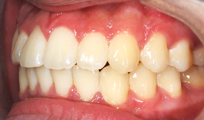
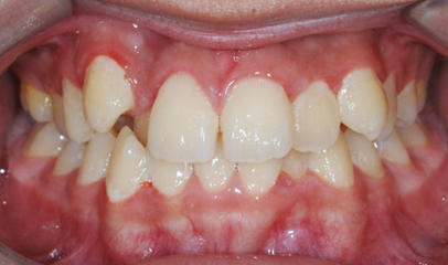
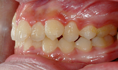
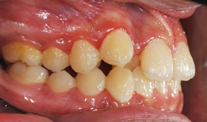
비발치 교정
입돌출도가 양호 또는 경미하거나 삐뚤삐뚤함이 심하지 않은 성인의 경우 발치 없이 자연치를 보존하며 치열을 개선할 수 있습니다.
악궁확장, 치간삭제, 어금니 뒤로 밀기 등을 통하여 공간을 충분히 확보하면 성공적인 비발치 교정이 가능합니다.
비발치 교정
전후 사례
치료기간 약 1년 6개월
Before
Before
Before
After
After
After
Before & After